Na Topázio Odontologia, acreditamos que nada é mais valioso do que ouvir a experiência de quem já confiou em nosso trabalho. Cada depoimento traz a história de superação do medo, conquista da autoestima e transformação de sorrisos, mostrando como um atendimento humanizado pode fazer toda a diferença.
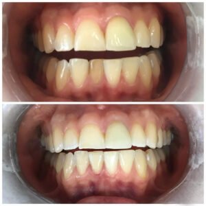
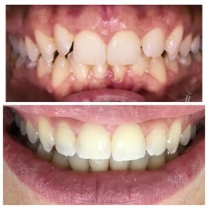
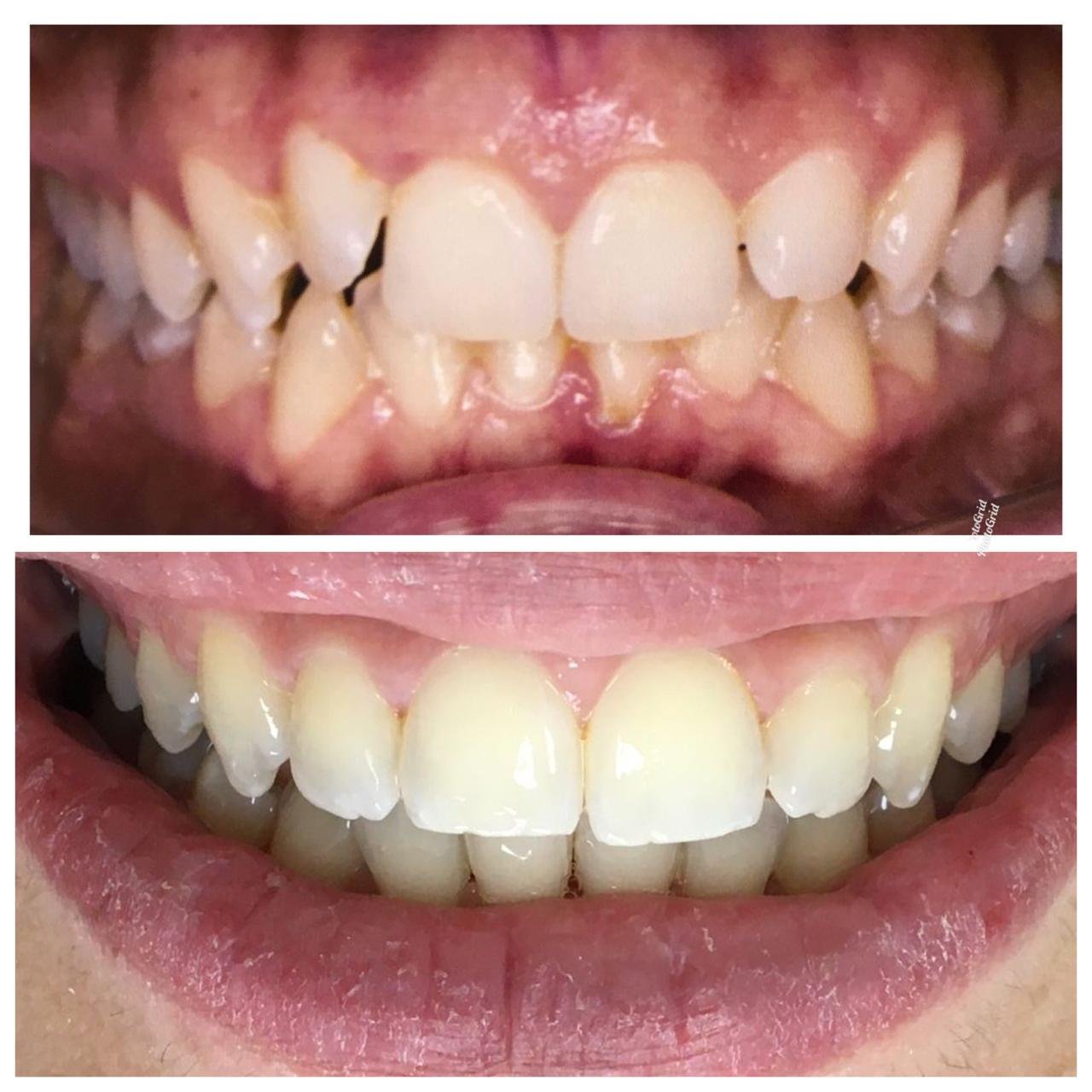
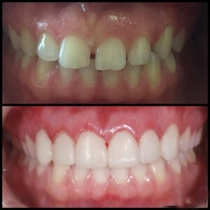
A seção de fotos de antes e depois foi criada para ilustrar de forma transparente o impacto dos nossos tratamentos. Aqui você poderá ver casos reais de pacientes que recuperaram não apenas a estética, mas também a saúde e a funcionalidade do sorriso. Cada imagem traduz o cuidado, a tecnologia e a dedicação da nossa equipe.
Ao conhecer os depoimentos e visualizar os resultados, você terá a certeza de estar fazendo a escolha certa para cuidar do seu sorriso. Na Topázio Odontologia, cada paciente é único, e o compromisso da nossa equipe é entregar não apenas um novo sorriso, mas também qualidade de vida e confiança renovada.
Com mais de 20 anos de experiência e mais de 90 avaliações no Google, a Topázio Odontologia já transformou o sorriso de mais de 10 mil pacientes, sendo a clínica de odontologia mais bem avaliada no Itaim Bibi.
Publicado em SHADÊ APPES RAIZLER12/06/2025Trustindex verifica se a fonte original da avaliação é Google. Dra Adriana e toda equipe são muito atenciosos e otimos profisisonais! Recomendo
Resposta do proprietário
Shadê, agradecemos sua recomendação e elogios à Dra. Adriana e nossa equipe. Esperamos vê-lo em breve!Publicado em THAIS NASCIMENTO02/06/2025Trustindex verifica se a fonte original da avaliação é Google. Lugar aconchegante e um atendimento maravilhoso,as profissionais top🤩
Resposta do proprietário
Thais, agradecemos muito pelo seu feedback positivo! Ficamos felizes em saber que gostou do nosso atendimento.🌟🦷Publicado em ALESSANDRA R.S MALAQUIAS24/04/2025Trustindex verifica se a fonte original da avaliação é Google. A dentista da vida! Adoro tudo sobre a Topázio: espaço impecável, atendimento, preço justo, localização e profissionais. Minha dentista Adriana de Pieri é maravilhosa! Além de simpaticíssima, conhece muito de trabalho que faz.
Resposta do proprietário
Olá Alê, agradecemos muito pela sua avaliação! Ficamos felizes em saber que você teve uma ótima experiência conosco. Conte sempre com a gente. Um abraço!Publicado em CAROLINE ROCHA16/04/2025Trustindex verifica se a fonte original da avaliação é Google. Estou tendo uma experiência incrível na clínica, desde a recepção até o atendimento com a Dra Adriana sempre profissionais e atenciosas, recomendo muito.
Resposta do proprietário
Olá Caroline, agradeço muito pela sua avaliação! Fico muito feliz em saber que você teve uma experiência incrível em conosco. Conte sempre com a gente aqui quando precisar. Um abraço!Publicado em SERGIOPASCO16/04/2025Trustindex verifica se a fonte original da avaliação é Google. Atendimento excelente
Resposta do proprietário
Obrigado pela avaliação, Sergiopasco! Ficamos felizes em proporcionar um atendimento excelente. Esperamos vê-lo em breve novamente!Publicado em SIMONE GUILLEN15/04/2025Trustindex verifica se a fonte original da avaliação é Google. Gosto muito do atendimento...sempre atenciosas Recomendo
Resposta do proprietário
Olá Simone, agradecemos sua avaliação! Ficamos felizes em saber que você gostou da gente aqui. Conte sempre conosco. Um abraço.Publicado em MARIA JUCILEDE “JO” ALBUQUERQUE15/04/2025Trustindex verifica se a fonte original da avaliação é Google. Sempre muito bem atendida, equipe super atenciosas
Resposta do proprietário
Obrigado, Maria! Ficamos felizes em ouvir isso, conte sempre conosco! Um abraço.Publicado em KOCHAV KOREN09/04/2025Trustindex verifica se a fonte original da avaliação é Google. A melhor experiência em restauração e canal dentário. Atendimento exemplar e produtos de qualidade.
Resposta do proprietário
Olá Kochav, ficamos muito felizes em saber que teve uma boa experiência conosco. Estamos sempre a disposição. Um abraço!Publicado em GIZELLE GUEDES DE SÁ09/04/2025Trustindex verifica se a fonte original da avaliação é Google. A clínica é otima. Todo time atende com muita qualidade e conhecimento.
Resposta do proprietário
Obrigado, Gizelle! Ficamos felizes em saber que você teve uma ótima experiência conosco. Estamos sempre a disposição. Um abraço!Carregue maisCertificado: TrustindexO selo verificado do Trustindex é o Símbolo Universal de Confiança. Apenas as melhores empresas podem obter o selo verificado que tem uma pontuação de avaliação acima de 4.5, com base nas avaliações dos clientes nos últimos 12 meses. Leia mais